Human body’s protein recycling system fights bacteria like antibiotics: Study

Jerusalem: Israeli researchers have discovered a surprising immune defense role of the proteasome, a cellular structure known for degrading and recycling proteins.

The study, published in Nature, could inspire new strategies against antibiotic-resistant infections, Xinhua news agency reported.

The study, led by the team from Weizmann Institute of Science (WIS), found that when breaking down old proteins, the proteasome constantly and regularly releases antimicrobial peptides, Xinhua news agency reported.

These antimicrobial peptides are considered vital components of the body’s first line of defense as they attack and kill bacteria.

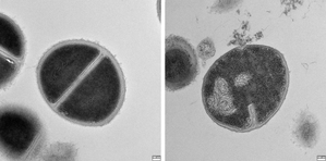
Experiments showed that human cells with active proteasomes effectively controlled bacterial growth, while blocking proteasome activity allowed infections to spread, WIS said.

In infected mice, proteasome-produced peptides reduced bacteria numbers, decreased tissue damage, and even improved survival rates, performing as effectively as strong antibiotics in clinical use.

The team identified over 270,000 potential antibacterial peptides hidden within 92 per cent of human proteins.

“This peptide database opens a new frontier for developing personalized treatments against infections and other medical conditions,” said Prof. Yifat Merbl’s lab at WIS.

The findings may open a new frontier for developing tailored therapies to strengthen immune defenses in high-risk patients, such as those with cancer or weakened immune systems.

Beyond the clinical implications, the team said the greatest thrill was discovering a fundamental cellular mechanism that is regulated by the proteasome and is different from anything previously known.

“This study highlights how technological innovation and basic research intertwine in unforeseen ways. Without the technology that allowed us to analyse the cellular trash, we would not have made this discovery, but when we developed this technology, we never imagined that we would uncover a new immune mechanism,” Merbl said.

–IANS

Comments are closed.